Seu sorriso completo e bonito, sem dor ou desconforto.

Ortodontia e Periodontia com um olhar integrativo: mais conforto na consulta, mais clareza no plano, mais segurança em cada etapa.

5.0

De 20+ reviews

Especialidades:

Tratamentos completos para transformar seu sorriso com naturalidade, precisão e segurança.

Ortodontia (Alinhadores invisíveis)

Alinhe seus dentes com discrição e previsibilidade. Planejamento digital, acompanhamento próximo e foco em função e estética — sem “sorriso padrão”.

Endodontia (canal)

Dor não precisa virar trauma. Tratamento endodôntico com precisão e cuidado para eliminar a inflamação, preservar o dente e devolver tranquilidade ao seu dia.

Prótese

Quando falta dente — ou falta confiança para sorrir — a prótese devolve forma, mordida e harmonia. Soluções sob medida, pensadas para parecerem naturais.

Implantes Dentários

Implantes para mastigar com segurança e sorrir sem medo. Avaliação completa, planejamento responsável e reabilitação com estabilidade e estética.

Periodontia (Gengiva)

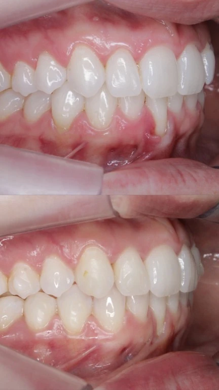
Gengiva saudável é a base de tudo. Prevenção e tratamento da gengivite e periodontite para reduzir sangramentos, mau hálito e proteger o suporte dos dentes.

Restauração

Recupere dentes com cárie, fraturas ou desgastes com acabamento natural. Materiais modernos, técnica precisa e resultado que “some” no sorriso.

Facetas

Mudança visível, mas com naturalidade. Facetas para ajustar forma, cor e proporção do sorriso respeitando seu rosto — e sem exageros.

Clareamento

Um sorriso mais claro, com segurança. Opções personalizadas e orientação profissional para clarear sem agredir, reduzindo sensibilidade e mantendo o resultado.

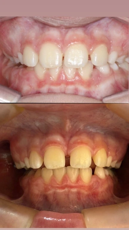
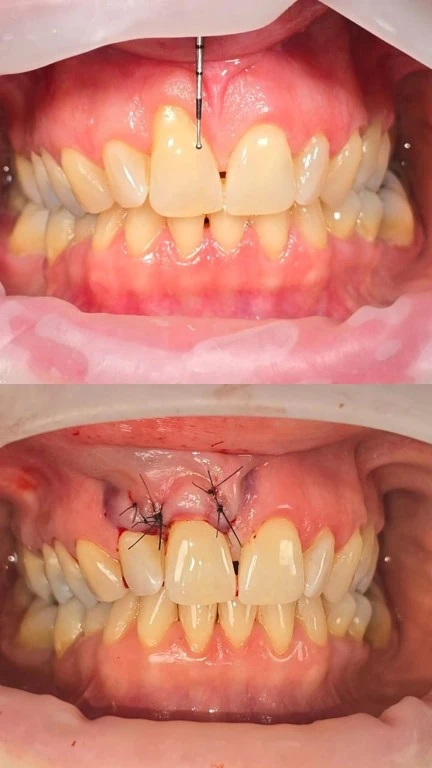
Antes e Depois | Resultados

Toque para ver em cores.

SOBRE A DRA. CAMILA

Especialista em Periodontia e Ortodontia, apaixonada pela odontologia e pelo cuidado personalizado com cada paciente.

A Dra. Camila Xisto Stone é cirurgiã-dentista formada pela UFRGS (2017), com especializações em Periodontia e Ortodontia. Une ciência e atenção aos detalhes para cuidar do sorriso como parte da saúde — com respeito, clareza e acolhimento.

  • Formação pela UFRGS

  • Especializações em Periodontia e Ortodontia

  • Visão integrativa e multidisciplinar do tratamento

  • Planejamento individualizado (cada sorriso tem sua história)

  • Atendimento humano: mais conforto, menos ansiedade, mais segurança

  • Foco em saúde da gengiva + harmonia do sorriso (base + estética)

Camila
Xisto

Stone

Fale conosco

Nossa equipe está sempre aqui para conversar e tirar dúvidas.

Telefone

(11) 99196.1113

E-mail

contato@dracamilastone.com.br

Horário de Atendimento

De segunda a sábado das 08:00 às 20:00.

Escritório

Av. das Nações Unidas, 14401 - Sala 3312, Chácara Santo Antônio, São Paulo/SP

Perguntas frequentes

Tudo que você precisa saber sobre os procedimentos.

1. Alinhador invisível funciona para qualquer caso?

Funciona para muitos casos, sim — de apinhamento leve a situações mais complexas. O ideal é avaliar seu sorriso e sua mordida para indicar a melhor estratégia (alinhadores, aparelho fixo ou combinação).

Depende do seu caso e do objetivo (alinhamento, correção de mordida, estabilidade). Na avaliação, você recebe uma estimativa realista de tempo e etapas.

Quando bem indicado e acompanhado, não. O clareamento profissional respeita limites seguros do esmalte e pode ser ajustado para reduzir sensibilidade.

Não é normal — é um sinal de inflamação. Pode ser gengivite (reversível) ou periodontite (que precisa de tratamento). Quanto antes cuidar, melhor para preservar dentes e osso.

A raspagem pode ser feita com anestesia para ficar confortável. O objetivo é remover tártaro e bactérias abaixo da gengiva e permitir que o tecido cicatrize com saúde.

Para quem tem sensibilidade, medo de dor ou maior acúmulo, pode transformar a experiência. A consulta fica mais tranquila e o resultado, mais completo.

Nem sempre. Dor pode vir de cárie, trinca, inflamação gengival, sensibilidade e outras causas. O exame define o diagnóstico e evita tratamentos desnecessários.

A rejeição é rara. O sucesso depende de planejamento, saúde gengival, qualidade óssea e cuidados no pós. Por isso a avaliação é tão importante — ela aumenta a previsibilidade.

Só se forem feitas sem critério. A proposta aqui é naturalidade: forma, proporção e cor combinando com seu rosto e sua personalidade.

Dura, sim — e a durabilidade aumenta com técnica correta e bons hábitos (higiene, controle de bruxismo, revisões). Na consulta, a Dra. define o melhor material para o seu caso.